apiñamiento en lima

Apiñamiento

Cuando los dientes son demasiado grandes para ser acomodados en el espacio que ofrecen los maxilares. Se oberva los dientes montados y no hay espacio para su correcta alineación.

mordida abierta en lima peru

Mordida abierta

Los dientes anteriores no contactan al cerrar la boca. Es un problema que puede ser óseo (asociado al crecimiento de los maxilares) y que también puede estar causado o agravado por falta de espacio para los dientes y por hábitos de uso muy prolongado del chupete, succión del pulgar y de deglución atípica.

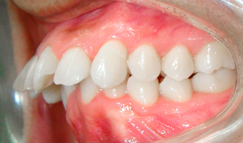
Tratamientos de ortodoncia en lima

Resalte

Cuando los dientes son demasiado grandes para ser acomodados en el espacio que ofrecen los maxilares. Se oberva los dientes montados y no hay espacio para su correcta alineación.

tratamientos con brackets en peru

Mordida profunda

La mordida profunda es un estado de sobremordida vertical aumentada, donde la dimensión entre los márgenes incisales dentales superiores e inferiores es excesiva. También se conoce como resalte dental o sobremordida vertical y la norma es de 2mm.

mordida cruzada en peru

Mordida Cruzada Anterior o Invertida

La mordida invertida o mordida cruzada anterior se produce cuando los dientes superiores están por detrás de los inferiores. Es un problema que puede deberse una inclinación incorrecta de los incisivos pero generalmente es un problema esquelético: el maxilar superior es pequeño (Hipoplasia Maxilar), el maxilar inferior o mandíbula es grande (Hiperplasia Mandibular o Prognatismo) o hay una combinación de ambos problemas óseos.

mordida cruzada en lima

Mordida Cruzada Posterior

La mordida cruzada posterior se produce cuando las piezas dentales postero-superiores están colocadas por dentro de las inferiores. Es un problema frecuente en aquellas personas con paladar estrecho u ojival (compresión palatina). Esta mordida en niños deberá corregirse lo antes posible especialmente si es unilateral y se acompaña de desviación mandibular ya que puede llevar a un crecimiento asimétrico de la cara y a problemas de sobrecarga en los dientes, en la musculatura facial y en las articulaciones temporomandibulares.

mordida chueca en peru

Línea media desplazada

Se produce cuando la línea imaginaria que divide en el centro a los dientes anteriores superiores no se alinea con la de los dientes inferiores.

espacios entre los dientes en lima

Espaciamiento

Separaciones o espacios entre los dientes como resultado de piezas faltantes o dientes que no ocupan todo el espacio. Las causas más frecuentes son las anatómicas y las periodontales. Las causas anatómicas se deben a que los dientes son demasiado pequeños para el tamaño de las arcadas dentales, las arcadas dentales demasiado grandes para el tamaño de los dientes o una combinación de ambas cosas. Las causas periodontales (enfermedad de las encías) son frecuentes en adultos. Los dientes se separan poco a poco porque pierden parte de su soporte (pérdida ósea e inflamación de las encías y del ligamento que rodea la raíz). También puede ocurrir que existan hábitos que propicien la aparición de estos espacios: empuje lingual, macroglosia (lengua grande), mordisqueo repetido de objetos.

ausencia de dientes en lima

Ausencia congénita de dientes o Agenesias

Algunas personas pueden tener ausencia congénita de una o varias piezas dentales. Esto se conoce como agenesia. Generalmente cuando hay agenesias, el resto de los dientes están en posiciones incorrectas (maloclusiones) y precisan tratamiento ortodóncico.

Canino incluido en lima

Canino Incluído

Se habla de incluido cuando un diente queda retenido en el maxilar mas allá de su fecha de erupción y todavía envuelto en su saco de epitelio conjuntivo.

Hasta un 3% de la población permanece con los caninos o colmillos “incluidos”, es decir, dentro del hueso sin poder salir pasada la edad en la que les tocaría hacerlo. La estadística indica que el 60% de los dientes tiene posición palatina, 20% vestibular y un 15% en el plano de las raíces de los incisivos. El 40% de los casos es simétrico y bilateral.

Causas de Inclusión del canino: Falta de espacio, trauma, pérdida prematura del lateral, lesión apical del temporal, infección, quiste, tumor), labio y paladar hendido, anquilosis, anomalías morfológicas, hereditarias, pero también influyen factores del desarrollo de las arcadas dentarías, como una dieta especialmente blanda en la infancia.

Evaluacion clinica y radiografica: Si observamos uno de los puntos en el examen clínico y por la edad del paciente el canino ya tendría que estar presente en boca inmediatamente procederemos al examen radiológico para averiguar dónde está el canino (posición en el paladar, altura, inclinación etc), su relación con la raíces de los dientes vecinos y que problema presenta.

Sospecharemos de la existencia de un canino incluido en el paladar si observamos lo siguiente:

  • En los adultos si conservan todavía el canino de leche o si están ausentes los dos (el de leche y el permanente).

  • A la palpación de los caninos en niños sea asimétrica (sólo se pueda palpar uno) o no se palpen en paciente mayores de 11 años.

  • Se palpen en el paladar.

  • Cuando el incisivo lateral se mueve en ausencia de canino del mismo lado.

La radiografía panorámica es excelente para darnos suficiente información para saber la posición del canino. Sin embargo pediremos una tomografía para conocer su ubicación tridimensional con precisión milimétrica, así como el estado y la relación con las raíces de los dientes vecinos, información necesaria para la fenestración o la exposición quirúrgica del canino.

Tratamientos: Cuando el canino no llega a salir hay que estudiar minuciosamente el caso ya que existen varias alternativas:

Puede interesar extraerlo quirúrgicamente mediante una sencilla operación, traccionarlos mediante ortodoncia para ayudarles a salir o, en otros casos simplemente no hacer nada y vigilarlos.

Traccion ortodoncica del canino: Generalmente es necesario un tratamiento de ortodoncia y consiste en una pequeña intervención quirúrgica en la que se realiza una pequeña ventana en el hueso (fenestración) a través de la cual se expone la corona del canino incluido, para poder colocar después un dispositivo de tracción ortodóncica que tire del diente para llevarlo a su sitio. Este tratamiento debe ser coordinado entre el cirujano y el ortodoncista, que previamente habrá ido creando el espacio necesario para el diente en la arcada. Una vez realizada la fenestración, el paciente deberá volver a su ortodoncista para que inicie la tracción ortodóncica.

Exodoncia quirurgica del canino: Lamentablemente, no siempre se puede llevar el diente al sitio. Esto depende de múltiples factores como la inclinación del diente, edad del paciente, la posible presencia de anquilosis (unión del diente al hueso). En estos casos es aconsejable extraer la pieza para evitar problemas en las raíces de los dientes ya erupcionados. El canino se extirpa, entonces, mediante una intervención bajo anestesia local.

Tanto si hay que traccionar el canino como si hubiera que extraerlo, la cirugía es sencilla y puede realizarse bajo anestesia local o, si el paciente lo prefiere, bajo sedación en la propia clínica. Con unos cuidados básicos, el postoperatorio será confortable y completamente indoloro.

terceras molares en lima

Terceras Molares

Las muelas del juicio o cordales son las últimas piezas dentales en salir, y lo suelen hacer entre los 17 y los 30 años. Son cuatro muelas, dos la mandíbula (derecha e izquierda) y dos en el maxilar (derecha e izquierda).

En algunas personas el crecimiento de estas piezas dentales es inexistente o sólo aparecen de manera parcial, quedando cubiertos por las encías o el hueso. Son los conocidos terceras molares incluidos.

Terceras molares impactados o incluidos:

Cuando un tercer molar queda bloqueado durante su proceso de erupción se le llama Incluido o Impactado.

Los terceros molares parcialmente impactados pueden traer problemas como dolor, infección, apiñamiento de los demás dientes, o daño del segundo molar (que se encuentra por delante de él) principalmente por caries que se desarrollan al ser esta zona de difícil acceso para la correcta higiene oral.

En el caso de los terceros molares completamente incluidos, pueden ocurrir problemas más serios si el saco que lo recubre se llena de fluidos y comienza a crecer hasta llegar a formar un quiste. El crecimiento de este quiste puede ir más allá del hueso y en ese caso causa un daño permanente al los dientes adyacentes, los hueso maxilar superior y mandibular y nervios cercanos.

Es por ello que en la actualmente se recomienda prevenir problemas futuros, de modo que se opta por extraerlos en edad temprana o adultos jóvenes (ya que no tienen ninguna funcionalidad en la masticación). Investigaciones dan cuenta que mientras mayor edad tiene el paciente mayor es el riesgo de desarrollar enfermedades infecciosas e incluso periodontitis o pérdida del hueso de sostén de los dientes cercanos al tercer molar.

La retención dentro del hueso nos puede originar complicaciones de diversos tipos:

  • Complicaciones infecciosas

  • Complicaciones mecánicas

  • Complicaciones neuromusculares

  • Complicaciones traumatológicas

  • Complicaciones tumorales

El mejor momento para realizar esta operación es ni bien se diagnostique la retención, y por supuesto, no esperar a que la misma genere las patologías previamente descritas. Cuánto menos edad tenga el paciente mejor será, ya que el hueso es más blando, las raíces no están completamente formadas y disminuimos la posibilidad de dañar algún nervio.

La extracción de un molar incluido requiere de una técnica quirúrgica minuciosa y de una gran destreza por parte del Profesional Maxilofacial, realizada generalmente bajo anestesia local.

Después de la cirugía, el paciente podrá sentir una pequeña inflamación y algún malestar, para lo cual se le indicarán analgésicos, antiinflamatorios y antibióticos para prevención, por un corto periodo de tiempo.